Sonographie mit Dopplermessungen


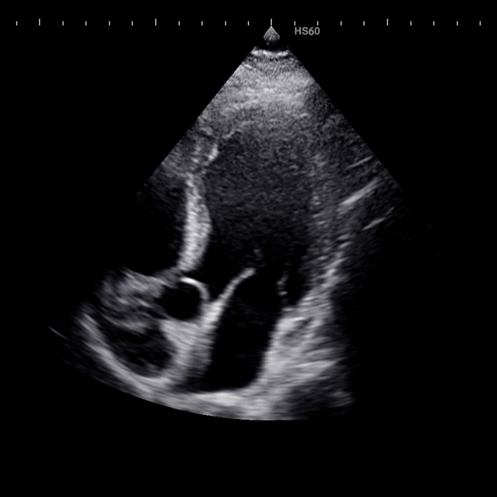
Echokardiographie
Mit der Echokardiogarphie mit Farbdoppler kann die Größe und Funktion der Herzkammern und die Funktion der Herzklappen beurteilt werden.
Doppleruntersuchung von Blutgefäßen
Mit der Dopplersonographie kann der Blutfluß in Venen und Arterien beurteilt werden. Dies dient der Erkennung von Engstellen in Arterien z.B. an der Halsschlagader oder den Arterien an den Beinen bei Durchblutungsstörungen. Auch zur Erkennung von Thrombosen kann das Verfahren eingesetzt werden.
Vereinbaren Sie jetzt Ihren Termin
Einfach Formular ausfüllen oder telefonisch unter 07171 . 65820
Vereinbaren Sie jetzt Ihren Termin
Einfach Formular ausfüllen oder telefonisch unter 07171 . 65820